English
×
行业最新动态
Industry News
您当前所在位置:
首页
奥航智讯
行业最新动态
行业最新动态
会员企业动态
GDPR
黑客可以通过电源线从计算机窃取数据
FreeBuf 2018-04-19
来自以色列内盖夫本古里安大学的研究人员一直致力于通过旁路攻击从计算机窃取数据。最新的研究成果是通过电源线传播的电流波动隐蔽地窃取高度敏感的数据。
查看详细
FB微软等34家科技公司联合声明:不帮政府发动网络攻击
腾讯科技 2018-04-18
腾讯科技讯 4月18日消息,据外媒报道,Facebook、微软和其他32家科技公司日前签署了网络安全承诺,包括保护他们的客户免受网络攻击,并承诺不帮助政府发动网络攻击。
查看详细
美国再度制裁中兴通讯 警示核心技术还得靠自己
科技日报 2018-04-18
美东时间4月16日,美国商务部宣布将禁止美国公司向中兴通讯销售零部件、商品、软件和技术7年。若此项出口限制真的实施,不但将重挫中兴通讯的发展,包括美国在内的全球产业链都将被牵累。
查看详细
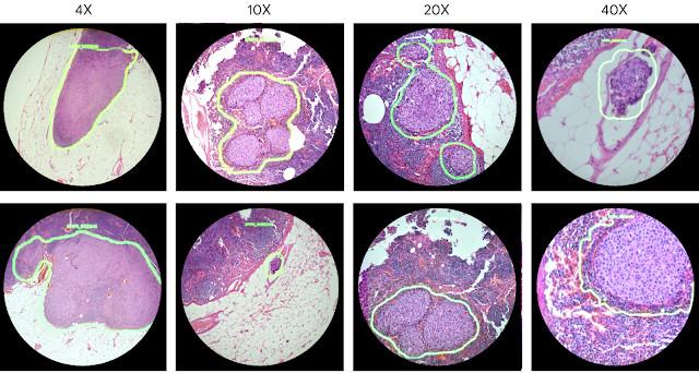
Google重磅医疗AI成果:AR显微镜实时分析病理切片
雷锋网 2018-04-18
深度学习技术近来在眼科、皮肤科、放射科和病理科等医学学科领域展现出了极大的应用前景,它可以帮助为世界各地的患者提供更加精准、可用的高质量医疗服务。Google近期也发布了一项研究成果,该成果显示,卷积神经网络检测淋巴结中的乳腺癌转移的准确率,可以媲美一名训练有素的病理学家。
查看详细
智能家居信息安全国际标准(Common Criteria)技术规范来了
SCA联盟 2018-04-18
智能家居信息安全国际标准(Common Criteria)技术规范即将在2018年6月12日发布,智能家居产品在信息安全领域是否符合信息安全标准将“有法可依”。
查看详细
首页
«
579
580
581
582
583
584
585
586
587
588
»
尾页
共932页
奥航智讯官方微信
联系我们 | CONTACT US
公司地址:上海市浦东新区 周康路26号 周浦万达E栋1016室
联系电话:021-51099961
企业邮箱:contact@smart-alliance.com
W E B : www.smart-alliance.com
在线留言 | FEEDBACK
Copyright 2012-2026 SC Alliance, All Rights Reserved 沪ICP备14020833号-1 上海奥航智能科技有限公司